認知症・物忘れ外来

年間患者数/約1,000人 早期診断が重要となります。

アルツハイマー病

脳血管性認知症

物忘れには、①正常加齢によるものと、②病気による認知症の初期段階とがあります。

ちょっとした物忘れが病気の認知症によるものかどうかを診断し治療を行います。

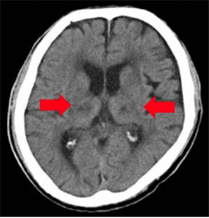
VSRAD(ブイエスラド)

早期アルツハイマー型認知症診断支援システム

認知症を早期に画像で診断できます。
認知症の早期に発見することで進行を予防できます。

Translate »